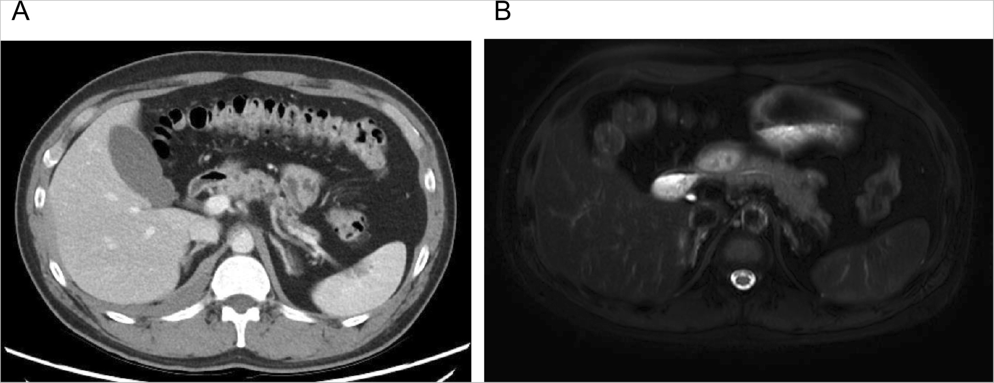
Fig. 3From: A rare case of multiple endocrine neoplasia type 1 initially presenting as an asymptomatic, huge mediastinal mass: case reporta Abdominal CT showing multiple small hypodense lesions in the head and body of the pancreas. b Magnetic resonance imaging demonstrates a normal pancreasBack to article page