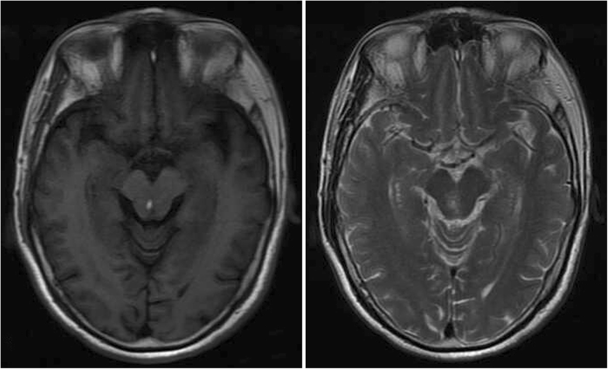
Fig. 3From: A rare long-term undetected pheochromocytoma leading to Takotsubo syndrome in an older male patient: a case reportAn abnormal patch signal is shown in the midbrain on cranial magnetic resonance imaging, high signal intensity on the T2-weighted imaging, and higher signal on the T1-weighted imagingBack to article page